Glaucoma: Comparison of Optic Nerve Imaging Technologies

 Glaucoma: Comparison of Optic Nerve Imaging Technologies

For glaucoma, new imaging technologies continue to improve and enhance our ability to diagnose and manage this disease. While for most practices obtaining all of these devices would be financially prohibitive, many can justify owning at least one or two of them. This article reviews the current options and offers advice as to which are the most reasonable for a new practice to obtain.

Disc photography

Currently the gold standard in monitoring disease progression, optic nerve photographs allow an objective real time comparison of inter-visit optic nerve appearance for a patient. Because these were some of the first devices available to monitor glaucoma, many have now become available for sale second hand. That said, anyone purchasing any photography device should invest in a digital camera; with EMR requirements looming in the near distance, these will not only integrate better with EMR systems, but allow for a database of images that can theoretically be recalled from anywhere in the world in a moment. While they do not typically offer the stereoscopic viewing of older cameras, they all allow for digital fundus photography so retinal pathology can also be documented. Some will even incorporate attachments that permit anterior segment pictures as well. While multiple devices are available, I am partial to those that allow non-mydriatic pictures to be taken as they can enhance patient throughput in the clinic as well as the patient’s experience in the clinic. Carl Zeiss’ Visucam is a standout in this regard as it also can take stereoscopic disc images.

HRT

The Heidelberg Retinal Tomograph (Heidelberg Engineering) uses a confocal scanning laser ophthalmoscope (cSLO) to capture parallel images at increasing depths. The images are then combined to create a three dimensional image of the optic nerve and retinal nerve fiber layer (RNFL). This map can then be analyzed for evidence of glaucomatous damage. The scans are fast (<24 milliseconds compared to involuntary eye movements which typically will occur 30-50 milliseconds) so accuracy is excellent. TruTrack&trade; image allignment uses anatomical features such as blood vessels to align the images, improving accuracy and quality of gathered data. Overall, HRT provides a wealth of information in the health of the optic nerve.

GDx

The GDxPRO (Carl Zeiss) is a scanning laser polarimeter (SLP) which uniquely characterizes the RNFL intergrity. The device is highly automated, including enhancements such as automatic pupil alignment and automatic image alignment (retinal blood vessels are used as landmarks). This allows for testing that is simple for any technician to perform with little training as well as high repeatability between tests. It is also an extremely quick test to perform. A low vision target is also available for those patients with end stage disease. While the ability of GDx to detect progression of disease is well agreed upon, for initial diagnosis of glaucoma the studies have been more mixed.

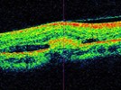
OCT

Perhaps the most commonplace piece of technology in an ophthalmologist’s office, optical coherence tomography provides information on both the optic nerve RNFL and macula. Functioning like an ultrasound device, except that light waves are used instead of sound, it provides high resolution imaging of the eye. Multiple companies manufacture OCT devices, including Carl Zeiss (Cirrus HD-OCT), Topcon (3D OCT-2000), Optovue (RTVue-100), and Optos (Spectral OCT/SLO). These all have pros and cons that may make one device preferable for one practice and a different device for another. It is important to note that the RTVue-100 is fourier-domain OCT while the spectral and 3D OCT-2000 are spectral-domain OCT. Additionally, the Spectral and HD-OCT (4000 model) combine SLO with OCT imaging. All of these devices are designed to integrate well with electronic medical record systems.

Ultimately, the choice of machine to add to a practice for optic nerve imaging depends on the needs of the practicioner. However, because of their ability to evaluate both macula and optic nerve well, my recommendation is for a digital fundus camera and OCT. For those practices which can only obtain one my preference would be for OCT. While not gold standard in diagnosis and treatment of glaucoma, the scanning ability of these machines is already extremely reliable. As software upgrades continue, OCT will likely capture disease progression long before an ophthalmologist can detect the change on a photograph.

In conclusion, these technologies, while likely to improve, are already so exceptional in the data they deliver they should be relevant for decades.

Related Articles

  • Glaucoma Management with RTVue

    Glaucoma Management with RTVue

    Tuesday, December 07, 2010
    Robert L. Stamper, MD, Department of Ophthalmology - University of San Francisco, discusses Glaucoma Management with RTVue.
  • Operative Optical Coherence Tomography (OCT)

    Operative Optical Coherence Tomography (OCT)

    Tuesday, December 07, 2010
    Nalin J. Mehta, MD, The Colorado Retina Center, discusses operative optical coherence tomography (OCT).
  • Compare Optical Coherence Tomography (OCT) Instruments

    Compare Optical Coherence Tomography (OCT) Instruments

    Thursday, June 04, 2009
    If you are researching optical coherence tomography instruments (OCT), spectral domain OCTs (SD-OCT), or Fourier domain OCTs, take this opportunity to compare OCT instrument features side by side. Click to compare scanning speeds, resolutions, modalities, and to request information from the top manufacturers.
  • <<
  • >>

Comments